Muchos especialistas recomiendan que las personas deben llevar una buena higiene bucal, de esta manera las encías no se irritarán ni sangrarán. Pero, a pesar de la higiene, si todavía existe sangrado, es probable que exista una infección dental. En ese caso, se recomienda acudir a un dentista para ver si es algo grave. Por lo que, con este artículo le explicaremos los motivos por lo que sangran nuestras encías y como se puede evitar. Y es que la belleza va más allá de la ropa.
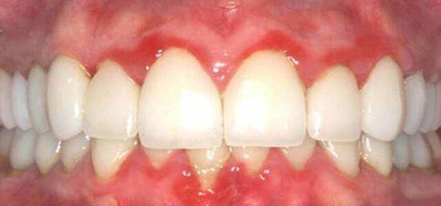
1Gingivitis descamativa crónica- Encías
Es unas de las infecciones que se presentan en las encías ocasionando el sangrado e inclusive la inflamación durante ciertos periodos. Inclusive, según lo especialista existen periodos en que nuestras encías no sangran y se encuentran en perfectos estados. Este tipo de problema se presenta en mujeres de 45 a 50 años y en ese caso que padezca de esta problemática es aconsejable acudir a su dentista.






