Tener una excelente higiene dental y asistir a un control odontológico cada vez que corresponde es indispensable para evitar la caries dental. Dejar la salud bucal a manos de un experto es la mejor manera de prevenir problemas que afecten a largo plazo o que sean irreversibles en la dentadura. Ahora bien, existen algunos remedios caseros que pueden servir como tratamientos complementarios y preventivos.
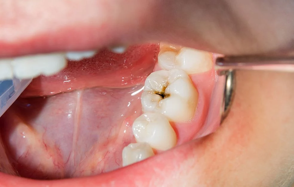
Lo primero que tenemos que entender es que la caries dental es una enfermedad que se produce por la presencia excesiva de bacterias en la superficie de los dientes, según reseña el portal Mejor con Salud. Cuando esto ocurre las bacterias utilizan el azúcar para crear ácidos y estos desencadenan problemas como la desmineralización del esmalte, la sensibilidad y el deterioro de los dientes. Todo esto se puede evitar con un cuidado óptimo, la vigilancia de un especialista y tratamientos preventivos no invasivos que podemos hacer desde casa.
¿Cuál es el remedio ideal para evitar la caries dental?

Según un estudio publicado en Iranian Journal of Pharmaceutical Research, la manzanilla no solo tiene propiedades para aliviar malestares digestivos calmar la ansiedad y ayudar a la conciliación del sueño, sino que también puede ser utilizado como un enjuague bucal para ayudar a remover la placa dental. Esto significa que una infusión de manzanilla puede ser incluida en una buena rutina de cuidado bucal, en la cual es importante remover aquellas bacterias atrapadas en la placa.
Para preparar una infusión de manzanilla solo necesitas una cucharada de esta planta y una taza de agua. Hierve la taza de agua y añade la manzanilla, luego, deja reposar durante unos 10 minutos, cuela y deja que enfríe. Puedes realizar los buches con esta infusión tres veces al día después de haber completado el cepillado y total limpieza de los dientes.
Otras recomendaciones para evitar la caries dental

La clave para evitar la caries dental es tener una excelente higiene bucal. Esto significa cepillarse después de cada comida, utilizar frecuentemente el hilo dental y asistir al odontólogo al menos dos veces al año. Además, si existe alguna emergencia dental es importante acudir con el especialista de forma inmediata.
También es de ayuda evitar aquellos alimentos que pueden dañar el esmalte de los dientes y provocar daño. Jamás deben realizarse métodos caseros y agresivos de blanqueamiento dental, ya que pueden deteriorar la dentadura y causar daños irreversibles en la salud bucal. De esta forma, deseas mejorar la apariencia de tus piezas dentales, lo mejor será consultar con un odontólogo.
